インビザライン矯正(マウスピース矯正)の症例紹介
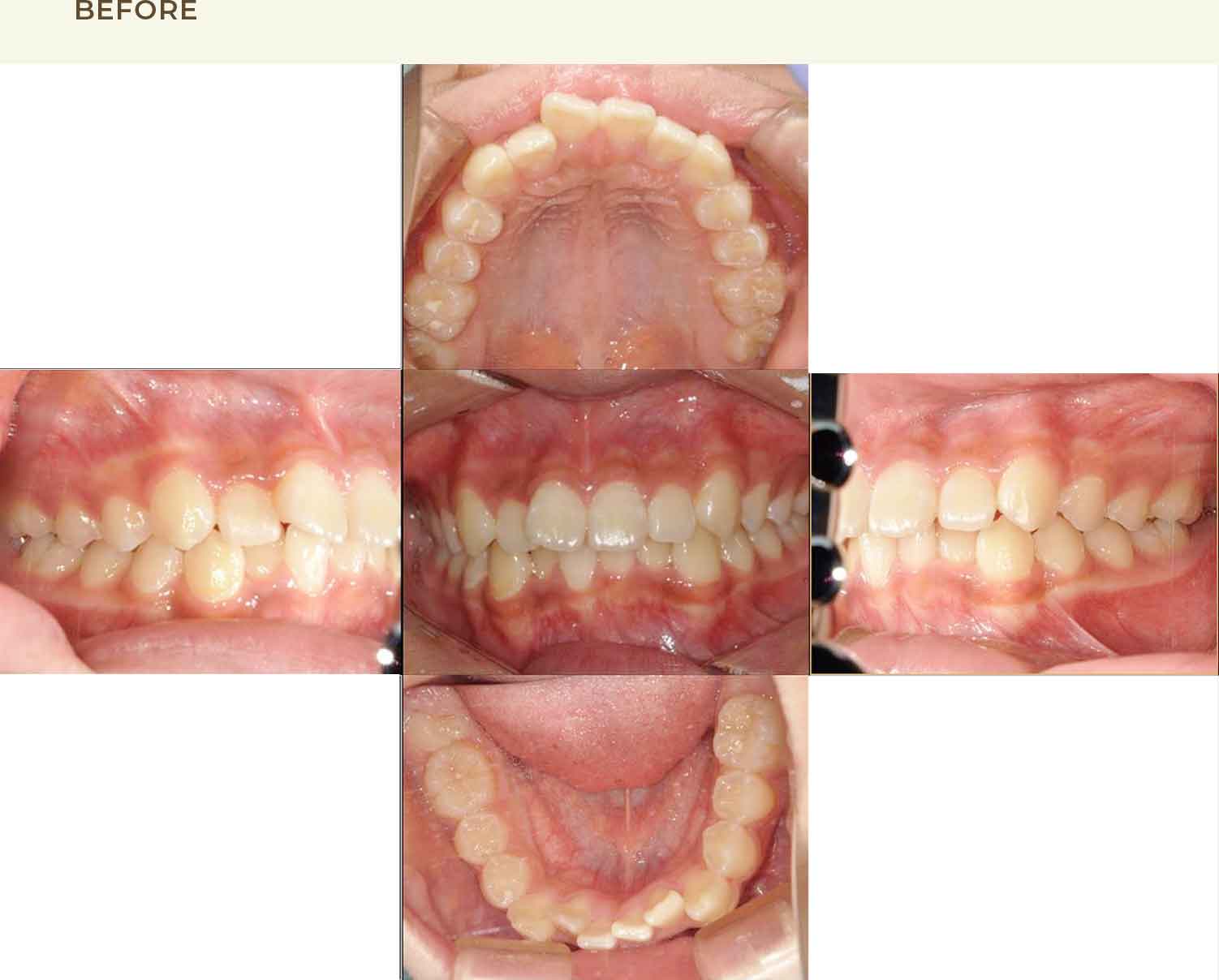
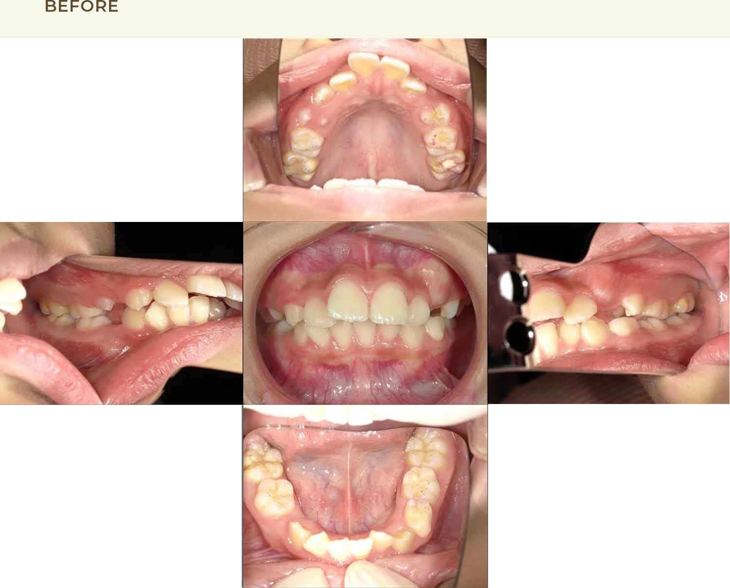
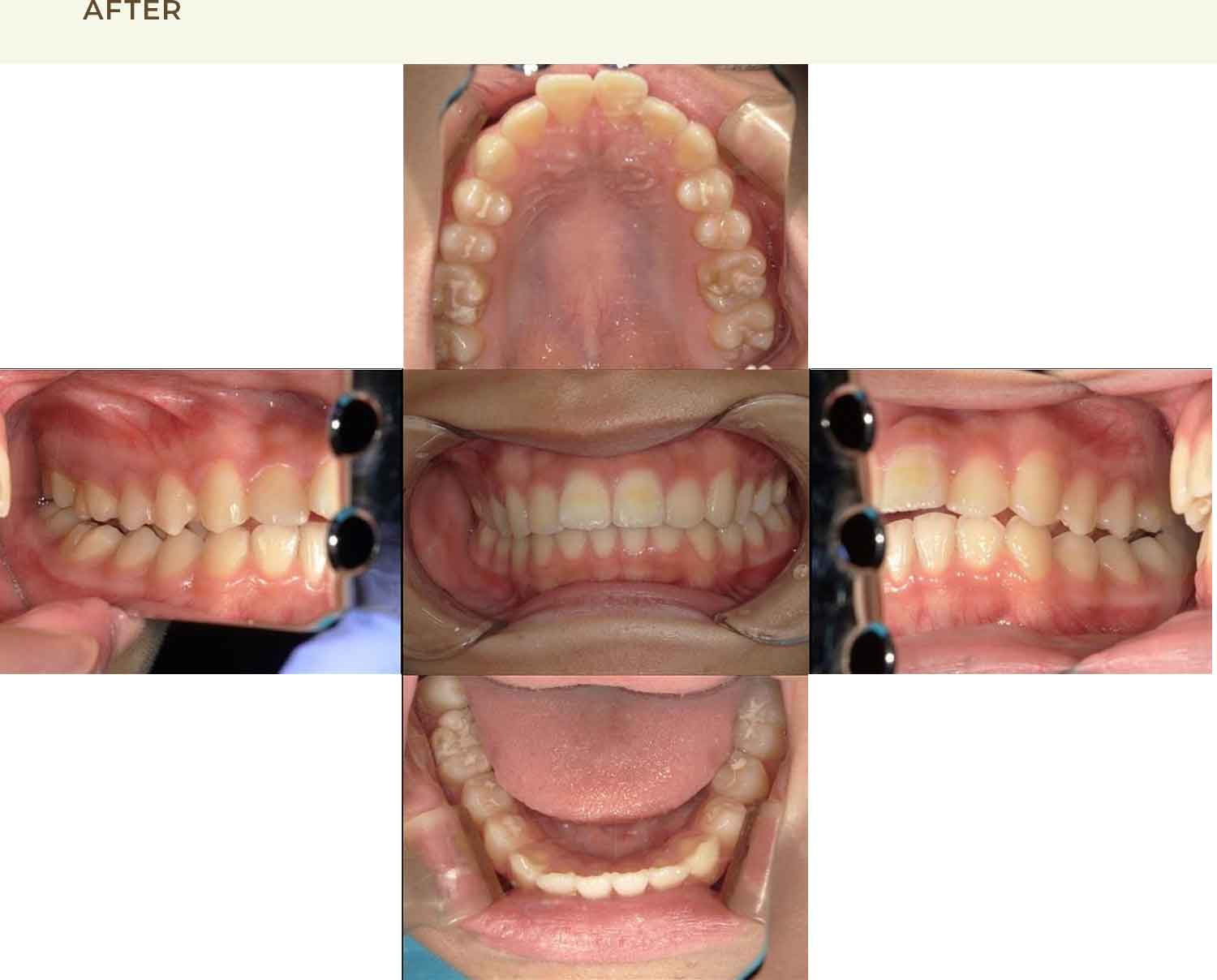
CASE.1
- 年齢
- 10代
- 治療法
- 拡大装置、ワイヤー矯正後インビザライン
- 治療期間
- 2年
- 費用
- 77万円
- 副作用
- カリエスリスク 歯肉炎
- 留意点
- 矯正治療期間はカリエスリスクがあがり、歯肉炎も引き起こしやすい。特に10代前半にはこのようなことがよくみられるで、ご家族の協力も必要です。


CASE.2
- 年齢
- 10代
- 治療法
- インビザライン
- 治療期間
- 1年
- 費用
- 77万円
- 副作用
- カリエスリスク 歯肉炎
- 留意点
- 口腔内清掃とともに、マウスピースの小まめな清掃が必要、アンフィットを起こすと矯正期間が延びたり、思うように歯がうごかないので、当医院では2カ月から3ヶ月に一度来院していただき検査をしています。











